Description
These CEU Sessions will count toward maintaining your accreditation with the Association for GNM Certified Clinicians. A minimum attendance of 4-CEU’s per calendar year will be a mandatory requirement to maintain your GNM Certified Clinician status.
CEU Unit 3
- Interview with Diego
- Q&A
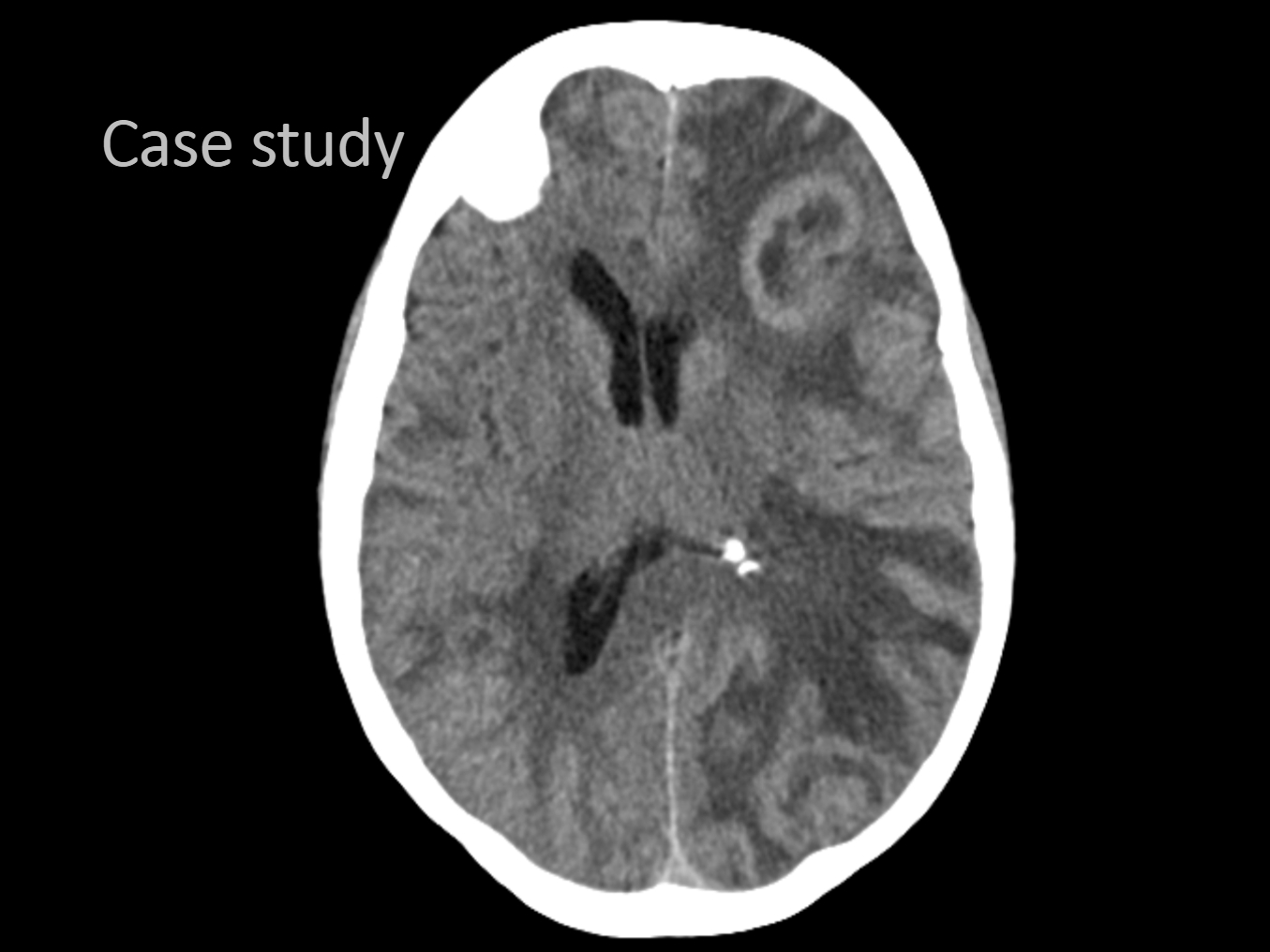
- CT scan comparisons
In Part I, of this presentation Ilsedora interviews Diego, the father of the Down’s syndrome twins that were patient’s of Dr. Hamer mentioned in his book on Music therapy “Mein Studentenmaedchen”.
Part II allows the grads to ask Deigo questions regarding his experience and Ilsedora gives a ground breaking presentation comparing 5 different series of CT scans taken without contrast of a patient with multiple brain tumors.
Please Note: By making this purchase you are gaining access to “one” CEU Session. Each CEU Session cost is $350.00 CAD (+HST for Canadians)




